こんにちは。獣医師の竹花です。
ここ1年でエキゾチックアニマルで変形性脊椎症を強く疑う症例が数例来院されたので
この場を借りてご紹介させていただきます。
フェレットの永遠(とわ)ちゃんが、1年前から両後肢の効きが悪くなり、歩きはするが、踏み直る反応が弱く、
初期は少し反応が悪いかな?ぐらいだったのが経過を追っていくうちにどんどん後肢の反応が弱くなってきました。
本人は痛みはなく、排便・排尿もしてくれるのですが、
一度レントゲンにて明らかな異常が見られないか確認しました。


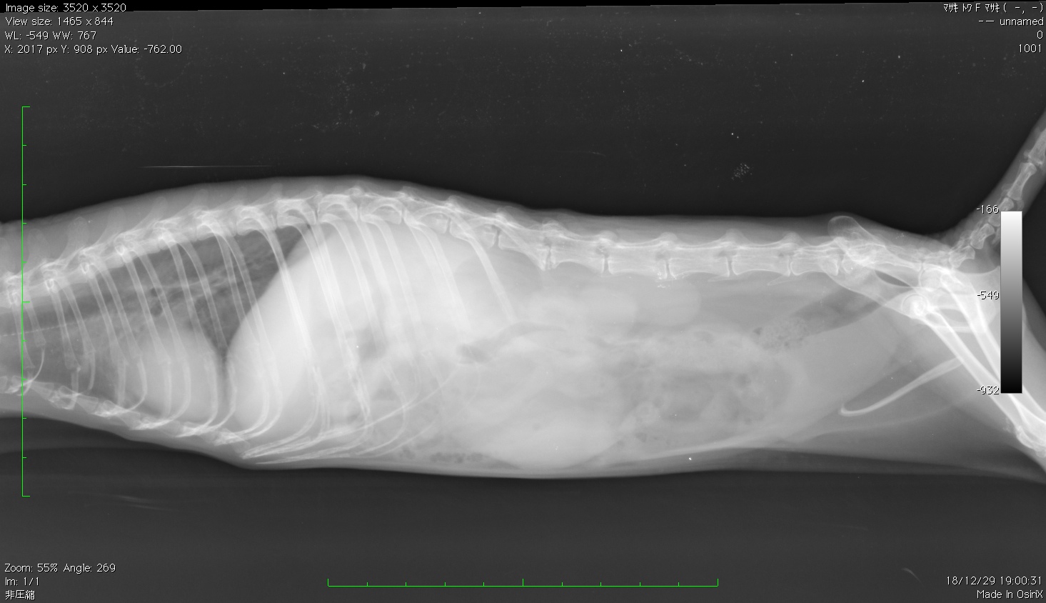
脊椎は横からレントゲンで見るとくびれのある長方形をしています。
右の3つの長方形のそれぞれの隙間と 右3・4つ目の隙間を比べてください。
後者に白く細長いものが挟まって、さらに長方形の下側が盛り上がっているのは分かりますか?
これらは全て骨棘と言われる骨の変化です。
実際はCT検査を行わないと確定診断には至りませんが、
高齢なこと、少しずつ変化が出てきたこと、脊椎間の腹側の特徴的な変化から
今回は変形性脊椎症と診断しました。
変形性脊椎症は脊椎関節部に骨の形成が行われ、基本的な症状は痛み・前屈姿勢などですが
骨の形成の状態によっては脊髄への圧迫がでることが知られています。

上記の図はデグーのチャコちゃんです。
後肢の効きが悪いで来院されました。
痛みはないのですが、歩行が上手にできなくなりました。
レントゲン画像で左が頭部・右が尻尾側・上が背中側となります。
その背中側中心部の脊椎部分の骨と骨が白くくっついています。
同じく確定診断にはMRIをとらないと分からないのですが、上記の永遠ちゃんと比べても
変形が著しく、臨床所見上、変形性脊椎症と判断しました。
このようにエキゾチックアニマルでも脊椎の変形が多く見られ、場合により生活に支障を来すこともあるので
高齢の場合、注意が必要でしょう。


